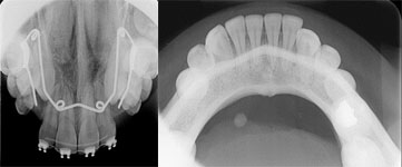
در این نوع رادیوگرافی قسمت بیشتری از دندانها و استخوان فک دیده می شود و از رسپتورهای بزرگ استفاده می گردد.بیشترین مورد استفاده از این روش در بررسی دندانهای نهفته و استخوان در هر دو فک و بررسی کف دهان وغدد بزاقی در فک پایین می باشد.تصویر سمت راست نمونه ای از نمای اکلوزال در فک پایین و تصویر سمت چپ نمونه هایی از نمای اکلوزال در فک بالا را نشان میدهد.
تصویر سمت راست نمونه ای از نمای اکلوزال در فک پایین و تصویر سمت چپ نمونه هایی از نمای اکلوزال در فک بالا را نشان میدهد.

